Yambil Dental Carefacebook

Yambil Dental Care

  Tap to Call
  Book an appointment online
 
    Book an appointment online

CEREC (By Sirona)

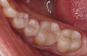
In an ideal world, everyone would boast a perfect, lifelong set of healthy teeth. Unfortunately, disease, accidents, and other factors can make this an impossibility. Often, a dental crown is the perfect solution.

A dental crown covers a tooth, restoring its shape and size, as well as strengthening and improving its appearance. While the benefits of a crown are numerous, the downside is that they can necessitate multiple dental office visits.

Until now!

We value your time. In the past, receiving a crown took at least two appointments, separated by a two/three-week waiting period. Not any more! We are one of only a few dental offices that offer on-demand, custom porcelain restorations through the use of the newest CEREC 4 CAD/CAM system.

Thanks to this amazing new technique, near-perfect tooth restorations are not only possible, but can be done in just one visit!

What is CEREC?

 

CEREC  (CEramic REConstruction) is a revolutionary system that allows your dentist to design, create and fit a new crown in a single visit. While you sit comfortably, an image of your tooth is scanned into a computer specially designed for this purpose. Using digital technology, your crown is designed to your tooth's precise specifications. The multi-instrument CEREC system consists of an infrared digital camera, a computer with 3-D imaging software, and a milling unit with diamond blades for quick, precise, and highly detailed construction of restorations.

The Benefits of CEREC®

There are several advantages to CEREC restorations over conventional laboratory-made restorations:

  • Single-Appointment Dental Care - With CEREC, you only need to visit the dentist's office once, instead of the usual two or three visits required with conventional restoration procedures.
  • No Temporary Restorations - Conventional restoration procedures require you to wear temporary restorations while the laboratory creates your new restoration. Temporary restorations can fall off or cause other problems. CEREC eliminates this inconvenience.
  • Complete Control by Your Dentist - Since the restoration is designed and fabricated from start to finish by your dentist, heor she has complete control over how it will look and fit. By contrast, a crown made in a laboratory is under the control of a technician who must rely upon impressions and dental imagery provided by the doctor.
  • Fine Materials - CEREC uses strong, tooth-colored ceramic materials to restore your teeth to their natural strength, beauty, and function. Not only do they look like the rest of your teeth, these materials closely match the composition of your natural tooth structure, allowing you to eat hot and cold foods without worrying about your tooth cracking from the extreme temperatures.

cerec-before cerec-after


What Is Involved In The CEREC Procedure?

CEREC CEREC MCXL

 

 

Your dentist will prepare your tooth utilizing traditional techniques before fitting a crown. At this point, instead of taking a conventional impression of your tooth, he will take a digital picture using the CEREC camera.

Using CAD/CAM (Computer Aided Design / Computer  Aided Manufacturing) technology, the CEREC software converts this picture to a 3-D virtual model of your tooth.

Once the dentist has perfected the design of your tooth, the data is sent to an on-site CEREC milling unit. While you relax, diamond coated instruments are used to mill a ceramic block, perfectly reproducing the computer-generated design. These ceramic blocks come in a wide variety of shades and colors and are selected to match your surrounding teeth. The process usually takes less than 30 minutes.

After the milling is finished, your dentist will polish the filling or crown and bond it into place in your mouth. Since the design is reproduced exactly to specifications, a perfect fit is insured. A laser and special cement are then used to unite your crown with your tooth.

Finally, your new and greatly improved tooth is polished, resulting in a smooth and natural look and feel.

That's it! No messy impressions, no temporary dental crowns, no multiple appointments. In fact, the whole procedure will probably take no more than two hours.